Písek – Praha – Brno – Vídeň
Písek – Praha – Brno – Vídeň
To není jízdní řád vlaků, ale cesta za správnou léčbou malé Natálky a její statečné maminky.
Natálka se narodila v dubnu 2013 s pes equinovarus na pravé nožce. Sádrování započalo v nemocnici v Písku a během 4 měsíců dostala malá holčička neuvěřitelných 36 sáder. K napravení nožky to však nevedlo.
Naštěstí se malá Natálka dostala na Bulovku v Praze, kde stačily pouhé 4 správně naložené sádry a tenotomie (malý operační zákrok v lokální anestezii) a nožka byla jako zdravá.
Bohužel na problémy v pozdějším věku už bylo založeno.
Po růstových spurtech, po 3. roce věku, nastala recidiva a nepomohlo ani cvičení dle Vojty, ani lázně. Zvýraznil se nášlap přes malíkovou hranu a dívka začala postupně chodit jen po špičce nohy.

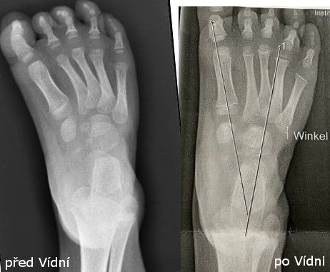
Viditelně nedošlapuje na paty 
Dorsiflexe v minusových hodnotách
Verdikt v pražské fakultní nemocnici zněl: operace McKey je nevyhnutelná.
Jedná se o velký operační výkon, kdy se nožka obrazně řečeno “rozebere a znovu složí”, ale s rizikem následků, které vždy souvisí se zásahem do jemného mechanismu chodidla a může omezit jeho hybnost.
Maminka Natálky se ale nechtěla nechat dát.
Jak je možné, že Ponseti v Africe napravoval nohy i nikdy neléčeným dětem, které už chodily po nártech, a to jen pomocí sáder?
Tak se maminka vydala do Brna.
Lékař ve FN Brno byl přístupný myšlence opětovného sádrování dle Ponsetiho metody. Rodina se tak každý týden vydávala na 3 hodinovou cestu do Brna v naději, že budou stačit jen sádry.
Ano, sádry dokázaly téměř nemožné. Už se nemluvilo o velké operaci McKey, ale “jen” o dorzálním uvolnění zadních struktur paty.
Nicméně, ani to maminku Natálky nezastavilo, pořád je to poměrně velká operace.
Poslední instance – Vídeň.
Ve Vídni působí nejbližší certifikovaný lékař Ponseti metody Dr. Christofer Radler, a to byla jejich poslední naděje. I když to znamenalo každý týden 8 hodinovou cestu a úhradu všech lékařských úkonů (neboť zde neplatí naše pojištění).
Bylo potřeba začít úplně od začátku – znovu 5 sáder (konečně správně dle Ponseti metody) a opět udělat malý operační zákrok (tenotomie).

A tady je konec dlouhé cesty Písek – Praha – Brno – Vídeň, mnoha naježděných kilometrů a velké odvahy jít si za svým.
Dnes má malá Natálka 6 let, nejhorší období má za sebou a se správnou léčbou to zvládla i bez operací. Má velkou naději na plnohodnotný život bez omezení a bolestí.
Maminka Natálky si pokládá otázku: Proč?
A my se ptáme: Kolik by ušetřil český zdravotnický systém, kdyby léčba byla v pořádku už na začátku?




Když vidím ty obrázky, hrnou se mi slzy do očí, protože moc dobře vím, jak velké úsilí musela Natálčina maminka vynaložit, aby se dostaly alespoň tam, kde jsou teď a také vím, že cesta nekoční, příběh pokračuje dál a není ani zdaleka ještě vyhráno.
Natálka má sakra velkou kliku, že má maminku, která se neúnavně snaží najít tu nejlepší a nejoptimálnější cestu, jak nožku uzdravit a zajistit jí bezstrarostný život bez zdravotních kompikací.